| 助力脱贫攻坚:我院再次深入贫困村开展义诊医疗扶贫 |
| 点击次数:6012 发布日期:2017/11/17 |
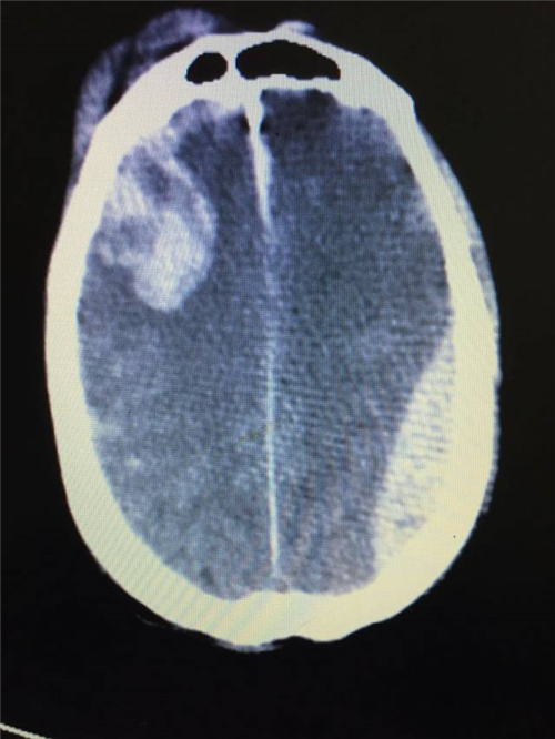
最近,我科成功抢救了一名生命垂危的高龄脑外伤患者。患者系汝城县人,因高处坠落后导致昏迷、颅内出血,被立即送入汝城县中医院进行救治,当地医院紧急处置后因技术及设备无法满足进一步救治要求,遂与我科联系后进行紧急转院。
我科通过微信工众平台了解患者病情后立即启动脑外伤急救绿色通道,派马爱群医生在急诊科第一时间接诊患者,并在30分钟内快速完善术前准备工作,将患者紧急送入手术室。
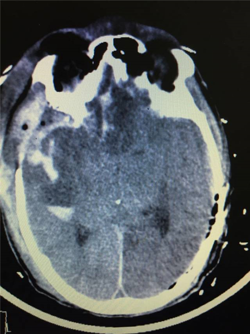
从患者到达我院再到开始手术仅仅花费40分钟,这为患者的进一步救治赢得了宝贵的时间。紧接着由我带领几名神经外科骨干,经过近2小时的手术,成功清除了患者颅内血肿。但此时患者肺部呼吸功能严重障碍,我们考虑患者颅底骨折发生误吸,导致气道不畅,立即请ICU会诊,ICU赵阳医生立即予以纤支镜下清理呼吸道异物,经过一个多小时的努力终于将双肺内气道异物清洗干净,恢复了患者的肺功能。
目前患者生命体征平稳,正在我院ICU接受进一步的治疗。
术前
术后
对于这样一名来自革命老区、国家级贫困县的患者来说,因当地医疗条件有限,只能外转就医,而神经外科急重症患者抢救的黄金时间很短,很多患者在转治的过程中因错过了宝贵的黄金救治时间窗而死亡,令人扼腕。
针对这种情况,在我院院领导的统一安排部署下,我科人员积极走出去,立足行业特点,与汝城县中医院进行结队帮扶,打造医联体,面向革命老区及国家级贫困县开展医疗精准扶贫。今年以来,我们向汝城县中医院捐赠了进行神经外科手术的基础器械,派遣了驻点医生在该院进行业务培训指导,参与了汝城首个神经外科的组建,同时我们还组建了以全国著名神经外科专家、湘雅医院神经外科主任、湖南省神经外科主委袁贤瑞教授为导师的神经外科医生团队进行技术援建.
目前,已成功在该院实施了6台手术,同时对于该院无法开展的技术,患者经过我们驻点医师诊治后并及时通过微信平台传递病人资料,为患者转送上级医院节约了大量时间,也避免了因盲目就医而耽误病情,浪费救命钱。期间汝城县就有一名颅内有巨大肿瘤的患者,盲目求治,几经辗转,费时费钱却无法得到有效治疗。我科驻点医生了解到该患者情况后,积极与患者联系,最后患者决定来我院我科治疗。经科室医生讨论后,制定了治疗方案并为其实施开颅肿瘤切除术,术后10天患者顺利出院,回当地进行康复及放疗,这样不仅为患者节省了大量医疗费用,而且得到了高质量的医疗服务,患者及家属都十分满意。
我常常思考,作为一名医务工作者,我们该如何践行习总书记倡导的精准扶贫,如何更好的服务人民群众健康。
经过下基层的实地走访,我们看到很多革命老区及贫困地区医疗技术水平较低,特别是专业性很强的神经外科,几乎一片空白。而神经外科急重症患者致死致残率极高,需要就地抢救,整个汝城县无专业神经外科医生,没有开展神经外科手术,该类患者均要长途转至韶关或郴州市进行治疗,又由于部分患者或患者家属不清楚就医程序,无就医相关途径,往往耽误太多治疗时间导致患者无法得到及时的救治,且其高昂的医疗费用令本不富裕的部分患者因病致贫,因病返贫。
所幸的是我们经过近一年来的不懈努力,终于成功地在汝城中医院开创了神经外科,虽然还很弱小,但一定会慢慢发展壮大,我们一件事接着一件事干,有序推进,让患者在家门口就能享受质高价廉的医疗服务。
进行医疗精准扶贫,投身卫生事业改革,努力打造高效的医联体是我们的责任和使命,我们应当积极响应习总书记的号召,不忘初心、砥砺前行,脚踏实地的做好每一件事情,为广大群众的健康贡献我们四医人的力量!(彭璞)
专家简介
彭璞:神经外科主任,主任医师。毕业于南华大学,1994-2009年在郴州市第一人民医院神经外科工作,2009年3月调入郴州市第四人民医院。曾于1997年在第四军医大学西京医院进修神经外科,2003年在首都医科大学宣武医院进修神经介入学,师从我国著名神经外科专家易声禹教授、章翔教授及凌锋教授。多年来一直致力于神经外科疾病的治疗和研究,主持脑血管病的规范化治疗项目,取得显著成效,使我区在脑血管疾病的治疗上达到省内先进水平。先后在国家级核心期刊发表专业论文十余篇。2次赴土耳其、加拿大参加国际学术交流。主持省级科研课题1项,参与省级科研课题3项,获郴州市科技进步一等奖1项。多次参加省市组织的急救专家医疗队,曾参加省医疗队赴汶川抗震救灾。
|


